Vera gaat een half jaar stage lopen in Indonesië. Een aantal weken voor ze vertrekt, laat ze zich bij de GGD vaccineren. Een van de vaccinaties is tegen tbc.
Tbc (tuberculose) is een dodelijke infectieziekte die wordt veroorzaakt door de bacterie Mycobacterium tuberculosis. Besmetting met de tbc-bacterie vindt meestal plaats via de longen en leidt tot langdurig hoesten. Door het uithoesten van kleine druppeltjes kan de bacterie worden overgedragen. Tegenwoordig is tbc goed te behandelen, maar wereldwijd sterven er elk jaar nog bijna 1,6 miljoen mensen aan.
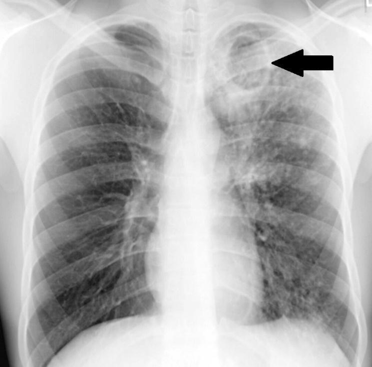
Als Vera thuis vertelt over de vaccinaties, hoort ze dat haar opa tbc had toen hij twaalf jaar was. Voor een diagnose werd toen een röntgenfoto van zijn bovenlichaam gemaakt.
In afbeelding 1 is een röntgenfoto van een tbc-patiënt te zien. Met de pijl wordt een lymfeknoop aangewezen die is vergroot als gevolg van een tbc-infectie.


