De opwaartse sapstroom

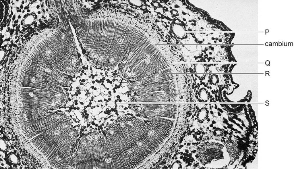
Door welk van de aangegeven delen heeft de opwaartse sapstroom plaatsgevonden?


Edzard BornemanTest je kennis met de 3 examenvragen die aan dit onderwerp zijn gekoppeld.

Door welk van de aangegeven delen heeft de opwaartse sapstroom plaatsgevonden?
Planten zijn ongelooflijk ingenieuze organismen die, ondanks hun stilstaande aard, complexe systemen hebben ontwikkeld om water en voedingsstoffen door hun gehele structuur te vervoeren. In deze samenvatting duiken we dieper in de mechanismen achter deze processen.
Worteldruk is een fundamenteel concept als we het hebben over hoe planten water en voedingsstoffen absorberen en transporteren. Maar voordat we daarop ingaan, laten we eerst de twee belangrijke sapstromen in een plant definiëren: de anorganische sapstroom en de organische sapstroom.
•Anorganische sapstroom: Deze stroom transporteert water en opgeloste anorganische zouten vanuit de wortels tot aan de bladeren. Dit water wordt opgenomen uit de bodem en bevat essentiële voedingsstoffen die belangrijk zijn voor de plantengroei.
•Organische sapstroom: In tegenstelling tot de anorganische sapstroom, transporteert de organische sapstroom producten van fotosynthese, zoals suikers, van de bladeren naar andere delen van de plant.


Transport in planten gebeurt via specifieke structuren, namelijk houtvaten en bastvaten. Houtvaten zijn verantwoordelijk voor het vervoer van water en opgeloste mineralen omhoog vanuit de wortels naar de bladeren, terwijl bastvaten betrokken zijn bij het transporteren van suikers en andere organische stoffen door de plant.

Watertransport in planten is een complex proces dat betrokken is bij verschillende fenomenen zoals capillaire werking, adhesie en cohesie, worteldruk en de zuigkracht van de bladeren door verdamping.
Om te begrijpen hoe water in planten beweegt, is het essentieel om eerst enkele eigenschappen van water zelf te kennen. Watermoleculen hebben de neiging om aan elkaar te kleven (cohesie) en ook aan andere oppervlakken (adhesie). Dit, samen met de oppervlaktetensie van water, speelt een cruciale rol in hoe water door planten kan bewegen.

Worteldruk wordt gegenereerd door de actieve opname van mineralen in de centrale cilinder van de wortels. Dit zorgt ervoor dat water osmotisch de wortelcellen volgt, waardoor de druk binnen de wortels toeneemt en water omhoog door de plant geduwd wordt.

Terwijl worteldruk een rol speelt bij het omhoogduwen van water, is de verdamping van water door de huidmondjes in de bladeren wat werkelijk water door de hele plant trekt. Dit fenomeen, bekend als transpiratie, creëert een zuigkracht die ervoor zorgt dat water continu door de houtvaten beweegt.

Het transporteren van water en voedingsstoffen is vitaal voor de overleving van een plant. Dit gebeurt via een complex samenspel tussen verschillende fysiologische processen. De concepten van worteldruk en de adhesie en cohesie van water leggen de basis voor hoe water kan opstijgen tegen de zwaartekracht in, zelfs tot de hoogste bladeren van een boom. Deze fascinerende reis van water benadrukt niet alleen de ingenieuze mechanismen binnen een plant, maar ook de cruciale rol van water in het ondersteunen van het leven op aarde. Succes met oefenen!
Alle informatie die ik voor mijn toetsen moet kennen is aanwezig, de powerpoints zijn duidelijk en makkelijk te begrijpen. De opdrachten passen altijd goed bij het onderwerp en ondersteunen goed bij het leren. JoJoschool is erg overzichtelijk voor mij!
Ik gebruik het nu voor Biologie, het werkt ontzettend goed, het is heel overzichtelijk en alles wordt behandeld. Hoog rendement haal ik met leren, geen langdradige verhalen, maar ook niet te moeilijk. Het houdt ook automatisch bij hoe ver je bent.
Het is voor mij een erg goede manier om de leerstof voor toetsen te begrijpen. De video’s zijn een stuk duidelijker en beter dan de meeste video’s op YouTube.

86% van onze leerlingen zegt hoger te scoren.

Een alternatief op dure bijles, altijd uitgelegd door bevoegde docenten.

83% van onze leerlingen zegt onderwerpen sneller te begrijpen.







