Autonome centra
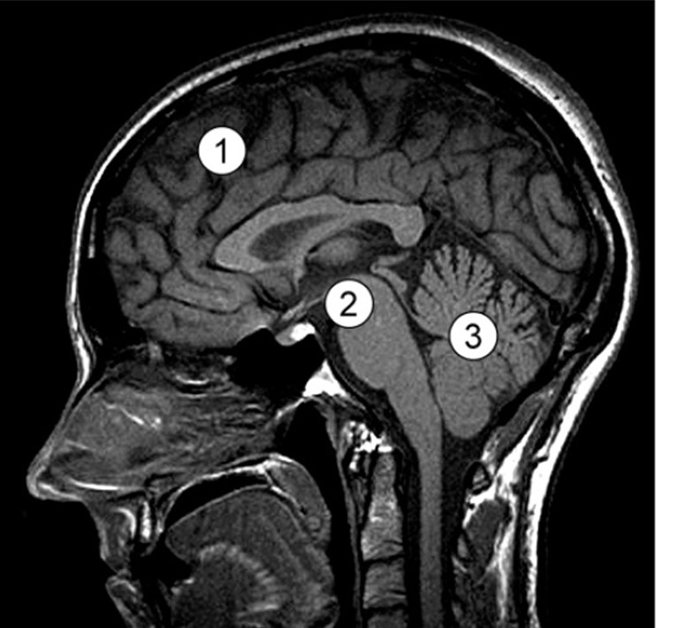
In de onderstaande afbeelding zie je een MRI-scan van de hersenen.

Op de foto zijn 3 verschillende hersendelen gemarkeerd. In welk hersendeel of welke hersendelen bevinden zich vooral autonome centra?


Edzard BornemanTest je kennis met de 3 examenvragen die aan dit onderwerp zijn gekoppeld.
In de onderstaande afbeelding zie je een MRI-scan van de hersenen.

Op de foto zijn 3 verschillende hersendelen gemarkeerd. In welk hersendeel of welke hersendelen bevinden zich vooral autonome centra?
De fundamentele structuur van de hersenen bestaat uit de grote hersenen, de kleine hersenen en de hersenstam. Deze drie delen vormen als het ware de basis van dit complexe orgaan. Bij het bekijken van een doorsnede van de hersenen valt op dat het omringd wordt door drie hersenvliezen en gevuld is met hersenvocht dat helpt om tegen schokken te beschermen, het voert afval af en speelt een rol in het regelen van de temperatuur.

Een essentieel onderdeel in het verhaal van de hersenen is de aanwezigheid van grijze stof en witte stof. De buitenkant van de hersenen, de hersenschors, bestaat uit grijze stof waarin de cellichamen van schakelneuronen zich bevinden. De binnenkant daarentegen bestaat uit witte stof, die myeline bevat en de uitlopers van de schakelneuronen vormt.

De grote hersenen herbergen verschillende gespecialiseerde gebieden, zogenaamde hersencentra, die verantwoordelijk zijn voor specifieke onderdelen van onze beleving en functioneren. Er is een globale tweedeling tussen de voor- en achterzijde van deze hersencentra. De voorzijde herbergt voornamelijk bewegingscentra, terwijl de achterzijde zich focust op gevoel.

Binnen deze hersencentra herkennen we meerdere primair en secundair onderdelen die samenwerken voor een goed functionerend geheel. De genoemde tweedeling in de grote hersenen bestaat uit onderdelen die verantwoordelijk zijn voor bewegen en voor gevoel.
Bij het spreken van primaire functies gaat het over de plek waar een bepaalde prikkel of informatie binnenkomt in de hersenen. De secundaire functies, ook wel associatiecentra genoemd, zijn de plekken waar de informatie wordt 'verwerkt'. Dit wil zeggen, waar je leert te begrijpen wat je ziet, voelt, proeft, etc. Beide zijn belangrijk om informatie goed te kunnen verwerken.
Tussen de grote hersenen en het ruggenmerg vinden we de hersenstam. Deze geleidt impulsen van en naar de grote en kleine hersenen. De kleine hersenen zijn verantwoordelijk voor het coördineren van bewegingen en het behouden van evenwicht.
Om te visualiseren hoeveel ruimte in de hersenen aan verschillende delen van het lichaam is gewijd, is er een figuur bedacht die de 'homunculus' wordt genoemd. In deze figuur, worden handen en voeten enorm groot afgebeeld, terwijl de rug bijvoorbeeld veel kleiner getoond wordt, wat aangeeft dat handen en voeten veel meer ruimte in de hersenen in beslag nemen dan de rug.

Alle informatie die ik voor mijn toetsen moet kennen is aanwezig, de powerpoints zijn duidelijk en makkelijk te begrijpen. De opdrachten passen altijd goed bij het onderwerp en ondersteunen goed bij het leren. JoJoschool is erg overzichtelijk voor mij!
Ik gebruik het nu voor Biologie, het werkt ontzettend goed, het is heel overzichtelijk en alles wordt behandeld. Hoog rendement haal ik met leren, geen langdradige verhalen, maar ook niet te moeilijk. Het houdt ook automatisch bij hoe ver je bent.
Het is voor mij een erg goede manier om de leerstof voor toetsen te begrijpen. De video’s zijn een stuk duidelijker en beter dan de meeste video’s op YouTube.

86% van onze leerlingen zegt hoger te scoren.

Een alternatief op dure bijles, altijd uitgelegd door bevoegde docenten.

83% van onze leerlingen zegt onderwerpen sneller te begrijpen.







