Een zestienjarige jongen kreeg tijdens zijn verblijf in Nederland regelmatig epileptische aanvallen. Uit onderzoek bleek dat deze aanvallen het gevolg waren van een varkenslintworm.
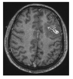
Epilepsie is een aandoening van het centrale zenuwstelsel waarbij af en toe een sterk afwijkende hersenactiviteit ontstaat: een epileptische aanval. Tijdens een epileptische aanval kunnen ongecontroleerde spiersamentrekkingen optreden, en kan de patiënt het bewustzijn verliezen.Op de MRI-scan van het hoofd van de jongen (afbeelding 1) zijn holtes (cysten) te zien. Eromheen is oedeem te zien (afbeelding 2). |


