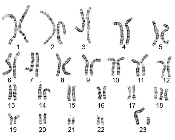
De arts heeft de chromosomen in kaart gebracht (zie de afbeelding). Zij vertelt Clara dat haar ongeboren baby een chromosomale afwijking heeft.

→ Leid uit de afbeelding af wat de chromosomale afwijking is.

Op deze pagina behandelen we vraag 45 van het centraal examen biologie vmbo 2021 – tijdvak 2. Deze vraag is onderdeel van Prenataal onderzoek, en is 1 punt waard.
Je kunt hier zelf het antwoord invullen en vervolgens direct de uitwerking en uitleg bekijken.
Daarnaast kun je:
De onderwerpen bij deze vraag zijn: