Afspelen
Geluid uitzetten
Volume
Afspeelsnelheid
Ondertiteling/CC
Instellingen
Volledig scherm

Slaag gegarandeerd met examentraining
- Oefen examens van de afgelopen 5 jaar met extra uitleg door docenten bij examenvragen
- Extra uitleg en oefenen voor elk onderwerp uit je examen
- Stel vragen en krijg direct antwoord

Bijbehorende onderwerpen
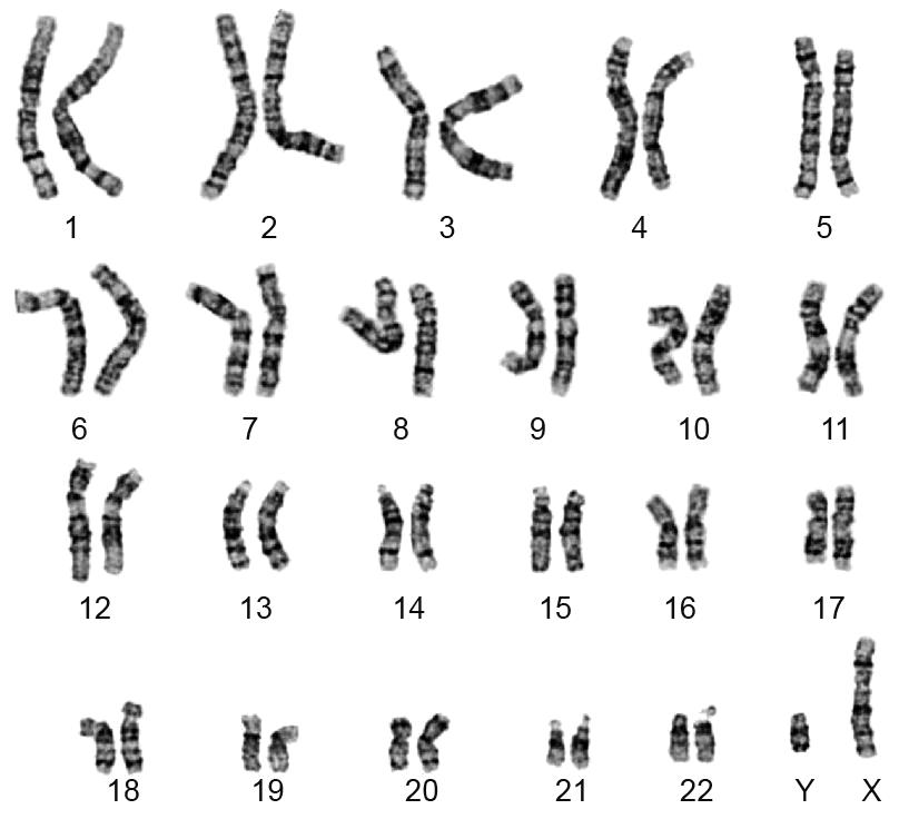
Op deze pagina behandelen we vraag 28 van het centraal examen biologie havo 2024 – tijdvak 1. Deze vraag is onderdeel van Het syndroom van Swyer, en is 2 punten waard.
Je kunt hier zelf het antwoord invullen en vervolgens direct de uitwerking en uitleg bekijken.
Daarnaast kun je:
- Oude antwoorden terugzien
- Extra uitleg vragen aan onze AI-hulp via de knop "Stel je vraag"
- De uitlegvideo van docent Edzard bekijken (video spoelt automatisch door naar het juiste moment)
- Klikken op de bijbehorende onderwerpen uit de examenroute om verdieping te vinden
De onderwerpen bij deze vraag zijn:
- De nieren